Японская ассоциация по развитию медоборудования (JAAME) одобрила возможность снятия электрокардиограммы и уведомлений о нерегулярном сердечном ритме в Apple Watch Series 4 и 5. Функция станет доступной при следующем обновлении программного обеспечения Apple Watch OS. Пока сделать ЭКГ с помощью смарт-часов от Apple можно в США и еще нескольких странах, но на многих крупных рынках, например, в России и Австралии, эта опция недоступна.
Forbes представляет первый рейтинг 20 лучших фармацевтических компаний России.
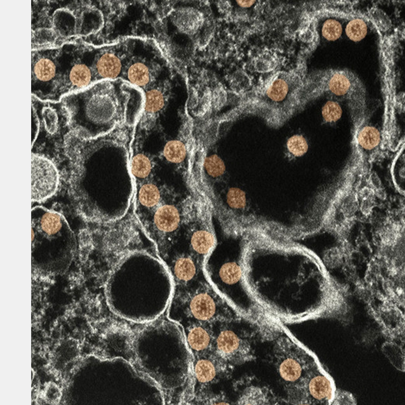
Johnson & Johnson проведет третью фазу испытаний вакцины от COVID с участием 60 тысяч человек
Компания Johnson & Johnson планирует самое масштабное испытание вакцины против коронавируса среди имеющихся кандидатов. Старт исследования намечен на сентябрь, как и ожидалось ранее.
Коропорация Sinopharm намерена вывести свою инактивированную вакцину на рынок в конце декабря по цене менее 1000 юаней (144 доллара) за две дозы. Об этом сообщает издание «Жэньминь Жибао».
Российская аденовирусная вакцина от коронавирусной инфекции, разработанная Центром имени Гамалеи, официально зарегистрирована — по заявлению властей, это первая вакцина от COVID-19 в мире, прошедшая регистрацию. Соответствующая запись появилась в государственном реестре лекарственных средств (ГРЛС), срок окончания регистрации — 1 января 2021 года, к этому моменту должна быть завершена третья фаза испытаний вакцины, что даст возможность вывести ее в гражданский оборот.